欢迎访问铝浩建材厂官网!
铝单板百科list center

全国服务热线

佛山铝单板定制加工厂(按摩调理中风后遗症案例)按摩会中风吗,

作者:www.aadkj.com 发布时间:23-08-16 点击:16

据芒果都市消息对于劳累的上班族来说久坐不动、长时间伏案工作经常会觉得肩酸脖子痛遇到这种情况怎么办不少人会选择去按摩但是,按摩不是你想按就能按最近,深圳小伙阿杰(化名)就因为按摩按出了脑中风究竟是怎么一回事?

按摩后半边身体动弹不得疼痛越来越剧烈33岁的阿杰是一名IT工作者,由于最近工作强度变大,他几乎每天上班对着电脑工作,下班拿着手机继续工作,这种状态持续了一段时间后,阿杰的颈部时不时就感到酸痛,动一下颈部的骨头还会发出“咯嗒”的声响。

于是,阿杰在家附近找了一家养生馆进行颈部按摩和推拿按摩师对着阿杰的颈部揉捏、拨筋,按摩的越使劲阿杰感到越酸爽,但是一顿操作下来后,阿杰感觉颈部的酸痛和疲劳并没有减轻,与此同时还多了一份像是被人“暴打”过后的疼痛。

按摩完回到家后,阿杰觉得颈部和头部的疼痛越来越剧烈,于是他便躺床休息但是没一会,阿杰的左手左脚开始不听使唤,顿时感觉左半边身子像“鬼压床”一样,一整个僵住了阿杰的家人见状不对,立马把他送到深圳市人民医院急诊科。

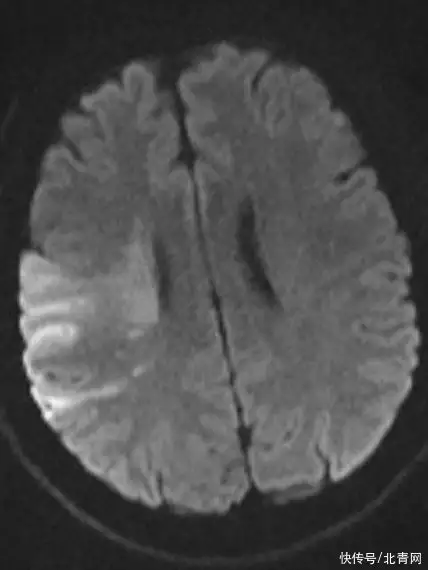
阿杰被送到医院后,负责接诊的神经内科介入组的医生凭借多年的临床经验,判断阿杰可能是急性脑梗死,也就是我们常说的脑中风!于是,医院立即为阿杰开通绿色通道行了头颅CT及头颅MRI检查检查结果出来后,阿杰被诊断为突发急性脑梗,也就是脑中风。

简单来说,就是血管堵住后,脑组织梗死,无法正常工作,右脑控制的左半身就瘫痪了

左图:梗死的脑组织

右图:颈动脉夹层为何33岁小伙会突然脑中风?与阿杰沟通后,医生判断“罪魁祸首”很有可能是颈部按摩为什么颈部按摩会导致脑中风?由于颈部没有骨头保护、很脆弱当用力去按压颈部肌肉时,如果挤压到了动脉血管,则可能出现血管内膜层的撕裂,血液侵入血管管壁内导至壁内血肿,形成动脉夹层。

夹层在动脉血的冲击下越来越大,挤压正常的血管,使动脉血管狭窄甚至闭塞,或形成血栓脱落,导致远端脑血管堵塞而导致脑卒中除了推拿和按摩可能诱发颈动脉夹层外,颈部钝挫伤或穿透伤也是常见原因某些体育运动(如蹦极、瑜伽)、颈部突然过度外伸或旋转、颈部扭伤、剧烈咳嗽、呕吐之后也可能引起颈动脉夹层。

与死亡擦肩而过住院10天后康复根据阿杰的病情,医生马上给阿杰实施静脉溶栓和急诊介入取栓手术治疗,最终顺利取出了堵塞脑血管的血栓,开通了闭塞血管。

左图:开通后的血管入院2小时后,阿杰就恢复了“自由身”,左半边身子可以重新活动了10天后顺利康复出院,并且完全可以活动自如了““医生当时说坏一点的后果就是偏瘫、甚至死亡现在这个结果真的是万幸”虽然结果顺利,但回忆起被确诊中风后的那几个小时,阿杰还是心有余悸。

他表示,经过这一次,以后再也不敢随便按摩脖子了不是所有的脖子痛都可以按这个位置千万避开脖子痛了去按一按是不少人的第一反应但类似下面这样的新闻的不断出现让大家害怕又困惑

广告家道中落的男子从底层爬起,一步一个脚印,踏上巅峰,过上众美环绕的逍遥人生!×此前也发生过类似案例▼1女子按摩后恶心呕吐,紧急就医2021年,深圳市民何女士眼睛出现肿胀、疼痛的情况,甚至还有恶心、呕吐症状,于是紧急就医。

医生诊断何女士为“晶状体脱位继发性青光眼”,立即手术医生介绍,一般来说,正常的晶状体由晶状体悬韧带悬挂于睫状体上,由于先天、外伤或病变等原因,最终导致晶状体离开正常生理位置何女士表示,近两年来,她经常按摩和敲打眼睛周围,觉得这是在给眼睛做保健。

医生推断,就是何女士敲打眼周的习惯才导致了晶状体的部分脱位,引发了青光眼2按摩后眩晕狂吐男子查出脑中风,紧急手术2021年,国庆节假期一连七天肖先生(化名)都觉得脖子疼痛难耐,10月7号晚上,正在炒菜做饭的他突然眼前一花,整个人天旋地转,然后吐得稀里哗啦。

就医检查结果显示,肖先生脑子里面已经出现了梗死病灶,是由于局部脑组织区域血液供应障碍从而导致的脑组织缺血缺氧性病变坏死,也就是俗称的“脑中风”肖先生为什么会突然脑中风?医生仔细追问,肖先生想起来,国庆节前他做过一次按摩!医生怀疑肖先生中风是按摩引起的。

3美容院按摩后,医生建议做环切手术2017年底,深圳新妈妈罗女士通过自检发现胸部乳块一开始,她以为是哺乳期遗留残乳,于是前往美容院按摩推拿推拿时感觉乳房痛感加剧,但没有经验的她,还以为是疏通后的现象然而,随后出现疼痛流脓现象,辗转了深圳市多家医院,均建议环切手术。

医生通过检查,确定是罗女士是肉芽肿性乳腺炎,几经治疗才改善症状平常喜欢按摩的小伙伴这些大家一定要了解清楚不是所有脖子痛都可以按摩一、颈椎病患者不可轻易按摩哪些脖子不可以按摩?首先就是颈椎病颈椎病是分型的,其中的「脊髓型颈椎病」是不可以轻易按摩的。

这种颈椎病是由于颈椎椎间盘和周围韧带的退化病变,压迫到了脊髓它甚至都不能轻易牵引,更何况让不知道哪里培训来的师傅把你的脖子当面一样揉来揉去要知道,脊髓可是中枢神经,是人体能协调运动的「总电源线」,截断了总电源线的后果可想而知。

图源:IC photo二、存在动脉粥样硬化斑块,一定要当心除此之外,如果存在动脉粥样硬化斑块,按摩手法不当,还可能导致斑块破裂或血栓脱落栓子会顺着血流疾驰,说不定就堵在哪儿了,发生中风心梗等,后果可是非常严重的。

三、这个位置千万避开还要强调一点,即使可以按摩,在过程中,也不能随便按压「颈动脉窦」颈动脉窦靠近气管,高度大致和喉结平齐它是颈动脉血管上的特殊结构,这里有压力感受器,能感知血压等的变化,从而调节心脏跳动、血管收缩、血压变化。

从理论上讲,按压、轻敲击颈动脉窦可能导致心脏骤停、猝死,这样的实例虽然少见,但也确实发生过以防万一,按摩时,一定要小心避开这个部位。

图源:生命时报说了这么多就是为了告诉大家不是人人都能享受脖颈按摩也不是随便谁都可以给别人按摩的找对根源才能针对性治疗其实,除了颈椎病,脖子痛的原因还有很多:可能是甲状腺、咽喉等地方病变,让脖子不舒服;可能是落枕或脖子的肌肉拉伤;

可能是肩部损伤影响到脖子;可能是日常姿势不良导致颈部肌肉疲劳;……痛的原因各不相同,就需要去医院或者正规的康复中心进行专业诊断找到根本问题,才能对症治疗对于肌肉紧张僵硬的脖子痛按摩是有一定效果的但作为一种被动的治疗手段。

如果不配合日常的姿势矫正你会发现按摩的次数反而会越来越频繁真正想要摆脱脖子痛的困扰一些实用的小练习还是要经常做的

这些你都记住了吗?